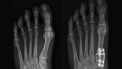
Bunion (Hallux Valgus)

 
  • More common in women

  • 70% have family history of bunion

  • Risk Factors:

    o   Genetic predisposition

    o   Shoes with high heels and narrow toe box

  • When pain is present despite non-surgical treatments including shoe modification surgery may be indicated

  • Dr. Marsh does NOT perform surgery for cosmetic reasons alone

  • Depending on the amount of deformity Dr. Marsh may fix the deformity minimally invasively through a MICA chevron osteotomy, open chevron or scarf osteotomy or a Lapidus midfoot fusion